
当院では、「目立たない矯正治療」をご提供しています。
ブラケット装置
歯の表側につけるブラケット装置をご提供しています。
ブラケット装置は、金属(シルバー) と透明の二種類ございます。

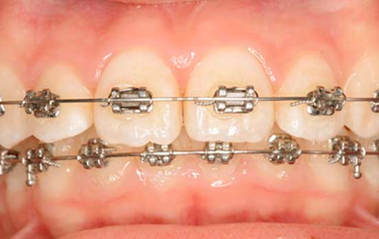
金属(シルバー)ブラケット装置

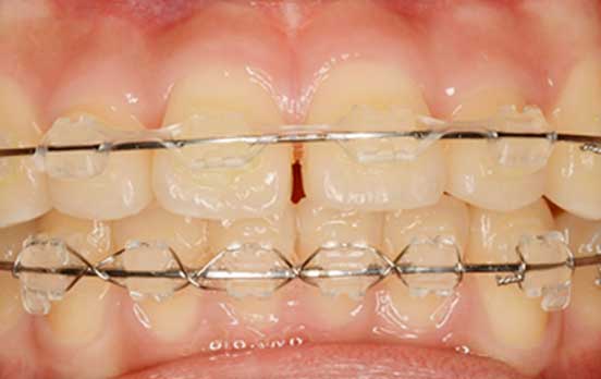
透明ブラケット装置
ワイヤ-
ワイヤーは通常、金属ワイヤーを利用しますが、ホワイトワイヤーも選択頂けます。

金属ワイヤー

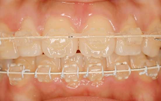
ホワイトワイヤー
ホワイトワイヤーは、金属ワイヤーの一部に白いコーティングを施すことで、より目立たない審美的にすぐれたワイヤーです。治療期間も金属ワイヤーとほぼ変わらない治療技術をご提供致します。
但し、歯磨きを乱雑に行うと白いコーティングが剥がれてしまうため、歯磨きは丁寧にしていただくようお願いしております。(コーティングが剥がれた際はワイヤー交換が可能です)
どの装置にしようかな?

「金属ブラケット装置」は、透明な装置に比べて、強度が強く、ワイヤーの滑りも良い、優れた装置です。
日常的な会話や、写真撮影の際には、口の中で、黒光している装置が、どうしても目立ってしまいますが、矯正治療が一般的になっている現代では、限られた治療期間と割り切り、選択される方も多くいらっしゃいます。
ただ、できれば、目立たない方がいいという場合は、「透明ブラケット+金属ワイヤー」を選択される方が一番多いです。
どうしても、ホワイトワイヤーとで悩まれる場合は、最初に「透明ブラケット+金属ワイヤー」を選択して頂き、後から差額でホワイトワイヤーに変更することも可能です。

金属ブラケット+金属ワイヤー

透明ブラケット+金属ワイヤー

ホワイトワイヤー
矯正治療自体に抵抗があり、少しでも目立つストレスを減らしたいという方は、オプションで、ホワイトワイヤーとマウスペース矯正を併用するコンビネーション治療もご提案致します。
今や、オリンピック選手も、表側の透明な装置で矯正治療をされる方が多くみられるようになりました。審美的な歯並びの問題ではなく、良好なかみ合わせが身体能力に及ぼす影響を考えた末の選択ではないでしょうか。
矯正治療は、煩わしい事もありますが、それ以上に得られることが多いからこそ、是非、前向きに検討し、ご相談頂けますと幸いです。

Information
医院情報


〒140-0013 東京都品川区南大井6-12-11 1F
ここならムリなく いい歯に
TEL 03-5767-1182予約制
緊急時、当日でもまずはお電話かLINEよりご連絡ください。
お問合せはLINEの予約からお願いいたします。
| 診療時間 | 月 | 火 | 水 | 木 | 金 | 土 | 日 | 祝 |
| 10:30~13:00 | - | ● | ● | ● | ● | ▲ | ▲ | - |
| 14:30~19:00 | - | ● | ● | ● | ● | ▲ | - | - |
| 診療時間 | 月 | 火 | 水 | 木 | 金 | 土 | 日 | 祝 |
| 10:30~13:00 | - | ● | ● | ● | ● | ▲ | ▲ | - |
| 14:30~19:00 | - | ● | ● | ● | ● | ▲ | - | - |
▲:9:30から診療開始。土曜は18:00まで。日曜診療は基本第2日曜日のみ。
診療日の変更はお知らせをご確認ください。
最終受付は診療終了時間の30分前
